No items found.

Radiology

Radiology Review - Pubic Stress Fracture

Pubic Ramus Stress Fracture in a Professional Football Player

Stress fractures around the pelvis are an important but sometimes under-recognised cause of groin pain in football players. This case highlights a left inferior pubic ramus stress fracture in a male professional footballer and illustrates some key aspects of diagnosis and management.

The player presented with a gradually increasing groin pain that had developed over several weeks. Initially the symptoms were mild and mainly noticeable during higher intensity running and kicking. Over time the discomfort became more persistent and began to affect training load.

Imaging Findings

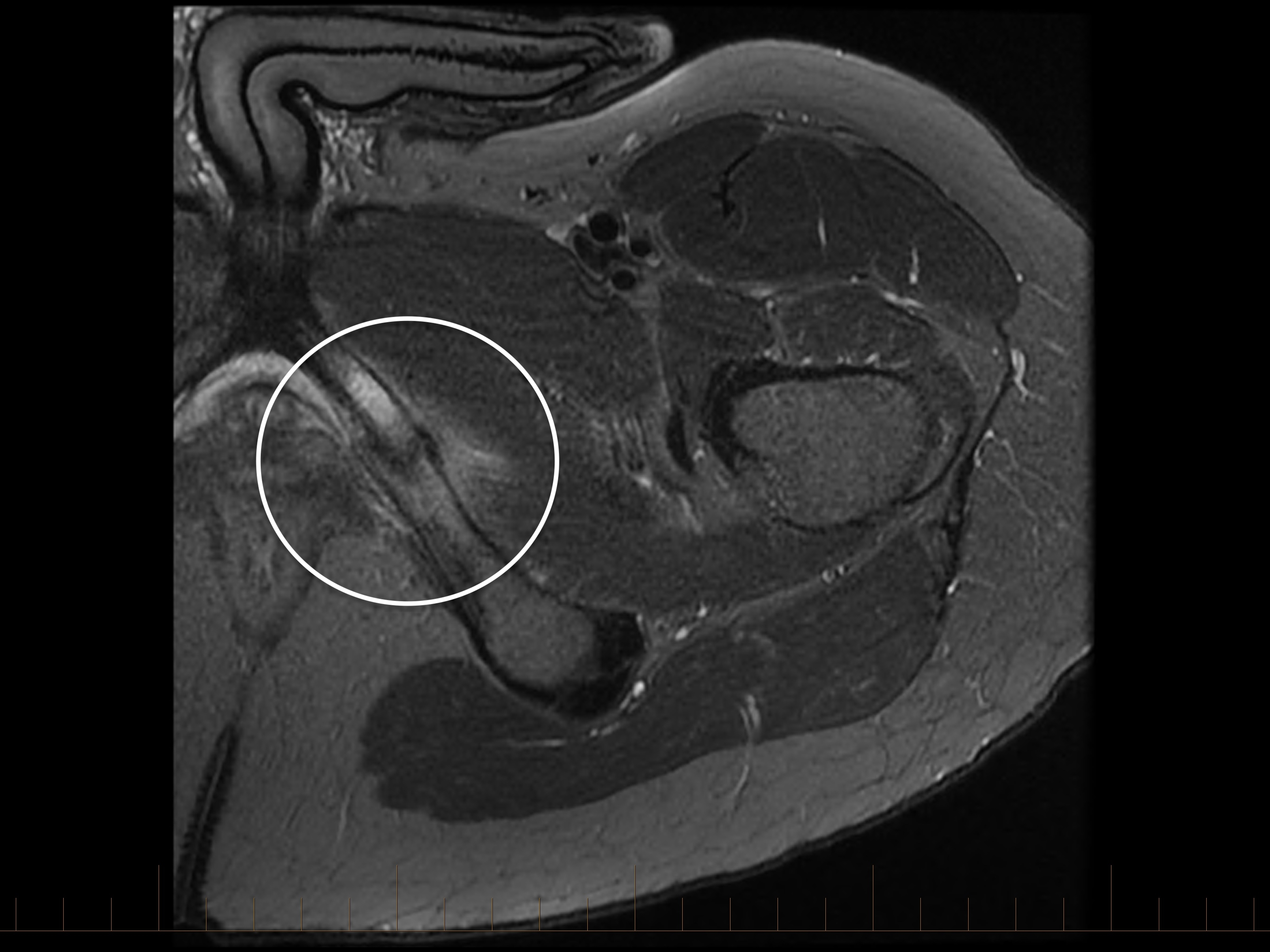
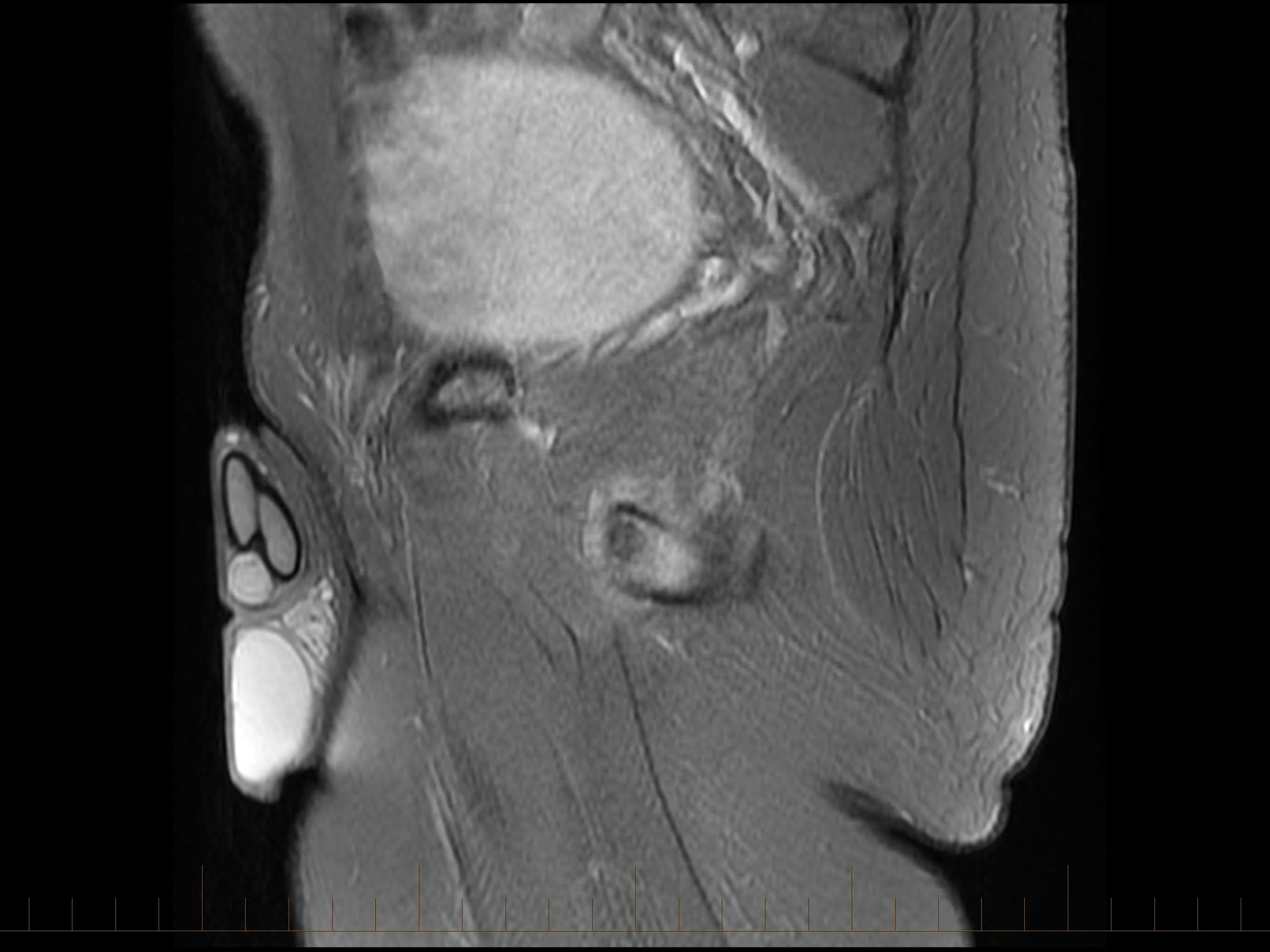
An initial anteroposterior pelvic X-ray demonstrated a visible fracture line in the left interior pubic ramus. While stress fractures in this region are often difficult to see on X-ray imaging, occasionally the fracture line can be clearly identified, as in this case. MRI is particularly useful when the diagnosis is uncertain as it can identify both the fracture line and the surrounding reactive bone changes, helping confirm the diagnosis and assess the extent of injury.

Management, Rehabilitation and Recovery

Pubic ramus stress fractures are generally considered to be a low-risk stress fracture. The bone has a good blood supply, and most players make a full recovery with appropriate management. The main challenge is that healing can take time (usually in the region of 3-4 months), and a premature return to loading may delay recovery. The management in this case is focused on servery key principles.

Firstly, it is important to consider possible risk factors that may have contributed to the development of the stress injury. These may include recent changes in training load, competition demands, reduced recovery, biomechanical factors, or underlying issues affecting bone health. REDs is often a factor in pubic stress injuries.

Secondary, recovery requires a carefully graded return-to-activity. Early management typically involves reducing running and kicking loads while maintaining general conditioning through alternative activities such as cycling and pool work. As symptoms settle, running loads can be progressively reintroduced before advancing to sport-specific movements. Many players also find compression shorts helpful during rehabilitation (we generally provide a SuperCore product to these patients). These shorts can provide additional support around the hip and groin region and may help reduce symptoms during the transition back to higher training loads.

An important part of recovery in this case was the involvement of one our Specialist Pelvic Physiotherapists. Athletes with pubic bone stress injuries, and other causes of groin pain, often have underlying weakness of dysfunction in the pelvic stabilising muscles that may have contributed to the development of symptoms. A physiotherapist with specific expertise in pelvic and groin conditions can assess these factors and guide targeted rehabilitation. In this case, a Specialist Pelvic Physiotherapist worked alongside the team physiotherapists to coordinate the rehabilitation programme. This collaborative approach ensured that the player progressed through a structured strengthening and loading programme while maintain close alignment with the demands of professional football.

Outcome

With appropriate management, athletes with groin pain can expect a good outcome. The key is recognising the problem early, confirming the diagnosis with appropriate imaging, and allowing sufficient time for healing while addressing the contributing factors that led to the injury in the first place.